Explorer la formation
La formation s’adresse à tout omnipraticien « parodonto-conscient » ou à celui qui souhaite le devenir. Le but est de vous aider à intégrer le traitement parodontal dans votre pratique et d’éclaircir les rapports entre le parodonte et les traitements prothétiques que vous pratiquez. Formation complète qui couvre les données scientifiques, l’application clinique, l’aspect technique (matériel nécessaire et indispensable) et l’organisation (Intégrer un nouveau traitement au planning, durée des rendez-vous, etc…). Les travaux pratiques et l’application clinique permettent de concrétiser les acquis et les fiches techniques aident à emporter les check-lists et l’essentiel à retenir à son cabinet. En plus des deux jours de formation, un suivi sera maintenu avec les participants pour les accompagner dans leurs premiers traitements.
Formateurs et intervenants
Dr Pierre Cherfane avec la participation du Dr Laure Demel.
Programme
JOUR 1
Maladies Parodontales : diagnostic et étiopathogénie
- Identifier un problème parodontal : anamnèse, signes cliniques et radiologiques
- Gingivite ou parodontite ? Guide pratique pour omnipraticien
- Etiopathogénie : comment et pourquoi se déclenche la maladie ? Biofilm, patient et facteurs aggravants
- C’est quoi le biofilm ?
- Questionnaire médical : pêche aux informations
- Péri-implantite et parodontite, est-ce le même problème ?
- Travaux pratiques : Sondage, indice de plaque, indice de saignement
Traitement et instrumentation
- Enseignement au contrôle de plaque : communication, techniques et matériel nécessaire
- Protocole de la thérapeutique parodontale initiale et la maintenance parodontale
- Instrumentation : ultrason, curettes manuelles, aéropolisseur… (fiche technique)
- Travaux pratiques : Méthodes de brossage, utilisation des brossettes
- Transmission vidéo clinique en direct : Enseignement au contrôle de plaque et séance d’assainissement parodontal
- Panorama des traitements chirurgicaux de régénération parodontales et muco-gingivales
JOUR 2
Parodonte et prothèse
- Le parodonte et la prothèse conjointe :
- Allongement coronaire : pourquoi ? Quand ? Comment ?
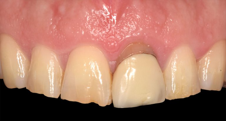
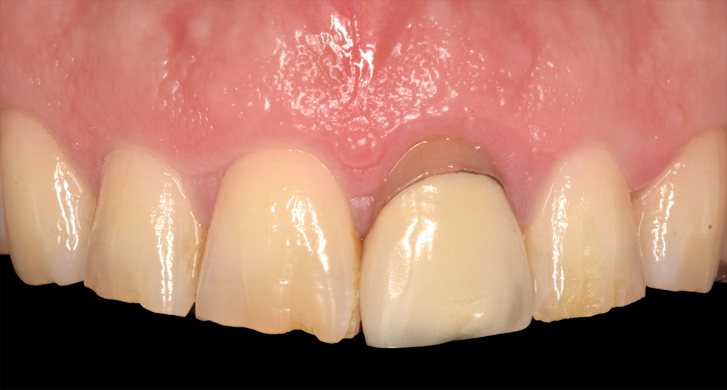
- Récessions gingivales et limites prothétiques visibles : comment les éviter ? Comment les corriger ?
- Le parodonte et la dentisterie restauratrice : limite sous gingivale, composites cervicaux…
Traitement multidisciplinaire
- Traitement multidiscipliniaire / Intégrer le traitement parodontal dans un traitement multidisciplinaire : organisation des séances
- Lien entre le traitement parodontal, la chirurgie implantaire et la prothèse : chronologie et délais
Etudes de cas cliniques*
* Il est recommandé que les participants apportent radiographies et photographies d’un ou de plusieurs cas cliniques qu’ils souhaitent traiter ultérieurement à leur cabinet afin d’en discuter en groupe. Pour une présentation plus fluide, il est souhaitable d’envoyer ces éléments à l’avance pour les intégrer dans nos présentations. Une fois les cas traités, un retour sur le déroulement pourrait être fait sur le groupe WhatsApp de la formation ou en visioconférence.
Partenaires formation

Prérequis
- Cette formation s’adresse aux chirurgiens-dentistes ou étudiant en médecine dentaire dernière année (sixième année).
Objectifs
A l’issue de cette formation, vous serez capable de :- Identifier les problèmes parodontaux : gingivite et parodontites
- Appliquer les indices parodontaux lors de votre diagnostic
- Comprendre l’évolution de la maladie parodontale
- Apprendre les techniques de contrôle de plaque à vos patients
- De traiter non chirurgicalement les gingivites et les cas simples de parodontites débutantes
- Comprendre l’influence des traitements prothétiques sur le parodonte et inversement
- Organiser un plan de traitement multidisciplinaire avec une chronologie rationnelle
Modalités d'inscription
- Cette formation est accessible par inscription via ce site en cliquant sur l’onglet « Je m’inscris ».
- Date limite d’inscription 2 semaines avant la date de la formation.
Modalités d'évaluation
- Des tests QCM et des travaux pratiques permettent d’évaluer l’acquisition des connaissances ce qui nous permet d’adapter le contenu de la formation en direct.
Accessibilité
- Pour des besoins spécifiques, veuillez contacter notre référent handicap Mme Gwenaëlle François.
