Explorer la formation
Cette formation s’adresse à des cliniciens qui ont réalisé la formation niveau N1 : « La place de la parodontologie en omnipratique» ou à ceux qui pratiquent déjà la parodontologie non chirurgicale et qui souhaitent parfaire leur pratique clinique et enrichir leur connaissance théorique pour maîtriser le traitement parodontal non chirurgical et poser au bon moment l’indication d’une chirurgie de régénération parodontale ou implantaire.
Formateurs et intervenants
Dr Pierre Cherfane avec la participation des Drs Laure Demel et Alexis Marin.
Programme
JOUR 1
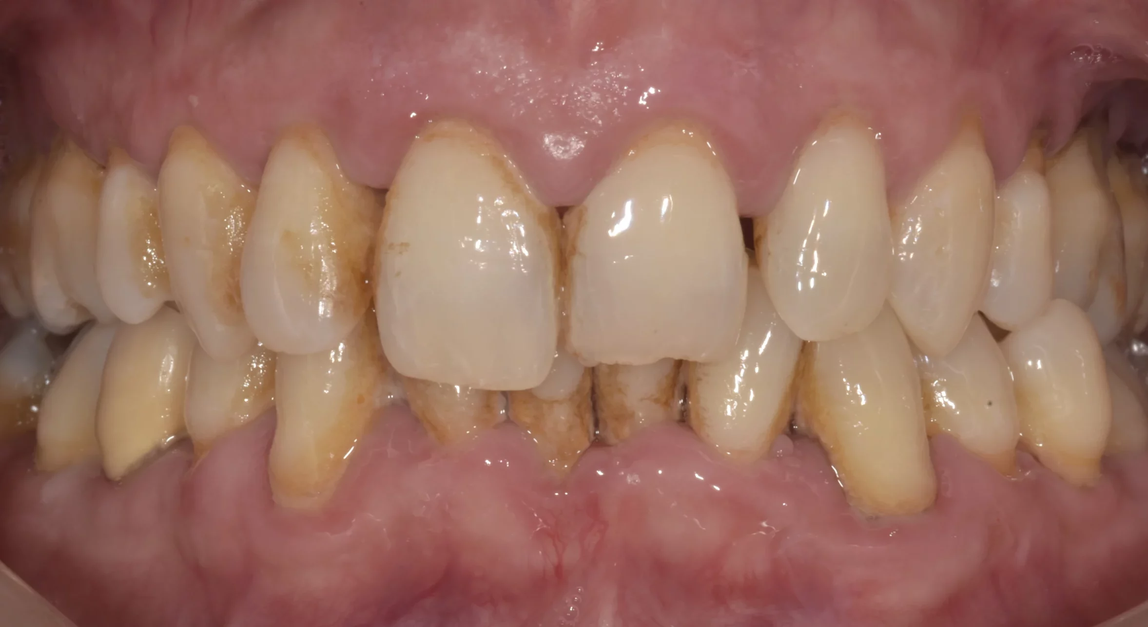
Module I – Présentation des maladies parodontales
- Épidémiologie et statistiques,
- Politiques de santé de prévention
- Méthodes de diagnostic cliniques et radiologiques
- Indices parodontaux : relevé des poches, mobilité, indices de saignement et de plaque : efficacité au quotidien
- Démonstration clinique transmise en direct
- Travaux Pratiques
Module II – Le biofilm et son rôle
- Le biofilm : son fonctionnement et comment le contrôler ?
- Etiopathogénie des maladies parodontales et facteurs aggravants
- Maladies parodontales et les maladies systémiques, le rôle du chirurgien-dentiste : comprendre, prévenir et agir
JOUR 2
Module III – Clinique : le traitement parodontal
- Traitement étiologique : principes et techniques
- Les surfaçages radiculaires : techniques et organisation
- Démonstration clinique transmise en direct
- Travaux Pratiques
Module IV – Maintenance et pronostic du traitement parodontal
- La maintenance parodontale
- Le pronostic des dents parodontalement compromise ? Chirurgie de régénération ou passage aux implants. Quand ? Pourquoi
Etudes de cas cliniques*
* Il est recommandé que les participants apportent radiographies et photographies d’un ou de plusieurs cas cliniques qu’ils souhaitent traiter ultérieurement à leur cabinet afin d’en discuter en groupe. Pour une présentation plus fluide, il est souhaitable d’envoyer ces éléments à l’avance pour les intégrer dans nos présentations. Une fois les cas traités, un retour sur le déroulement pourrait être fait sur le groupe WhatsApp de la formation ou en visioconférence.
Partenaires formation

Prérequis
Cette formation s’adresse aux chirurgiens-dentistes ou étudiant en médecine dentaire dernière année (sixième année).Objectifs
A l’issue de cette formation, Vous serez capable de :- Connaître l’épidémiologie de la maladies parodontales citées dans la littérature scientifique
- Comprendre l’étiopathogénie des maladies parodontales et les facteurs aggravants qui l’influencent.
- Poser le diagnostic d’une maladie parodontale à l’aide de l’étude des radiographies et du relevé des indices parodontaux (Charting)
- Comprendre l’impact des maladies parodontales sur l’état de santé générale et le lien avec des maladies systémiques
- Comprendre le fonctionnement du biofilm dentaire et maîtriser l’apprentissage des techniques de contrôle de plaque au patient
- Réaliser une thérapeutique parodontale initiale du diagnostic, en passant par les séances de surfaçages, jusqu’à la réévaluation
- Mettre en place une thérapeutique de soutien efficace (maintenance parodontale)
- Identifier les indications d’une chirurgie de régénération
- Choisir le moment propice pour indiquer l’extraction d’une dent à pronostic défavorable pour ne pas compliquer ou compromettre un traitement implantaire
Modalités d'inscription
- Cette formation est accessible par inscription via ce site en cliquant sur l’onglet « Je m’inscris ».
- Date limite d’inscription 2 semaines avant la date de la formation.
Modalités d'évaluation
Des tests QCM et des travaux pratiques permettent d’évaluer l’acquisition des connaissances ce qui nous permet d’adapter le contenu de la formation en direct.
Accessibilité
- Pour des besoins spécifiques, veuillez contacter notre référent handicap Mme Gwenaëlle François.
